تهران (پانا) - دکتر مهدی میرغضنفری، پژوهشگر طب سنتی درباره خواص توت از دیدگاه طب سنتی اظهارداشت: توت سفید شیرین و دارای مزاج گرم و تر است و نوع سیاه یا قرمز آن که معمولا ترش بوده و شاتوت نیز نامیده میشود که مزاج این نوع توت سرد و خشک است.
تهران (پانا) - دکتر مهدی میرغضنفری، پژوهشگر طب سنتی درباره خواص توت از دیدگاه طب سنتی اظهارداشت: توت سفید شیرین و دارای مزاج گرم و تر است و نوع سیاه یا قرمز آن که معمولا ترش بوده و شاتوت نیز نامیده میشود که مزاج این نوع توت سرد و خشک است.
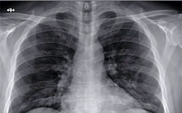
تهران (پانا) - اگر تا به حال یک نخ سیگار هم نکشیدهاید شاید تصور کنید در برابر سرطان ریه مصون هستید؛ اما طبق آمار اخیر، اشتباه میکنید. هرچند کشیدن سیگار، اولین ریسک فاکتور ابتلا به سرطان ریه است؛ اما پژوهشهای جدید نشان میدهند نرخ سرطان ریه در افرادی که هرگز سیگار نکشیدهاند، یک روند افزایشی پیوسته پیدا کرده است.
ملارد(پانا)- سیگار کشیدن به قلب و گردش خونی آسیب میزند و خطر بیماری هایی مثل بیماری های قلبی عروقی، حمله قلبی، سکته و بیماری های مغز و اعصاب راافزایش می دهد.
تهران (پانا)-متخصص تغذیه انستیتو تحقیقات تغذیهای و صنایع غذایی کشور نکاتی را درباره سبک تغذیه سالم و تقویت سیستم ایمنی در مقابله با بیماریها ارایه کرد.
اصفهان(پانا) _یک فوق تخصص بیماریهای ریه در خصوص اثرات آلودگی هوا بر سلامت افراد سالم و گروههای حساس توضیح داد.
تهران (پانا) - بهگفته یک متخصص ریه کرونا لزوما با مشکلات ریوی همراه نیست و درصورت درگیری ریه با این ویروس مدت زمان ابتلا به آن وابسته به بیماریهای زمینهای فرد و ژنتیک او خواهد بود.
تهران (پانا) - آنچه میخورید تقریباً بر همه ابعاد سلامتی شما تأثیر دارد و این شامل ریههایتان نیز میشود.
تهران (پانا) - یک فوق تخصص ریه دانشگاه علوم پزشکی کاشان گفت: بیماری ناشی از ویروس کرونا در ابتدا یک بیماری تنفسی است که با توجه به حجم ویروس حمله کننده و پاسخ ایمنی فرد مبتلا می تواند به راههای هوایی فوقانی مثل بینی و گلو محدود شود و یا پیشرفت کرده و مجاری تنفسی تحتانی و بافت ریه را نیز درگیر کند.
تهران (پانا) - کروناویروس بهخاطر وجود شاخکهای تاجی شکلی که بر روی سطوحش وجود دارد، با این نام شناخته شده و میتواند سبب بروز کووید 19 شود. این ویروس یک عفونت ویروسی واگیردار است که در ابتدا گلو و سپس ریه فرد مبتلا را درگیر میکند.
تهران (پانا) - بروز مرگ مغزی در افراد به دنبال حوادث مختلف، با وجود تمام تلخی و ناگواریاش، میتواند از طریق رضایت خانواده فرد برای اهدای اعضای حیاتی او، به پایانی خوش و ادامه زندگی تعداد دیگری از افراد نیازمند بیانجامد. محققان در این خصوص، به بررسی عوامل اجتماعی فرهنگی مرتبط با این موضوع پرداختهاند.