نتایج جستجو : آندومتریوز

  • تهران (پانا) - عضو هیئت علمی پژوهشگاه ابن سینا با بیان اینکه بطور قطعی نمی‌توانیم به همۀ افراد مبتلا به آندومتریوز توصیه کنیم که حتما روزه بگیرند و یا نگیرند، مطرح کرد: برطبق شرایط زندگی، شرایط بدنی ، وضعیت درمانی و صلاحدید پزشک می توان روزه داری را به آن ها توصیه کرد.

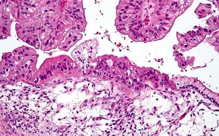
  • تهران (پانا) - عضو تیم تخصصی مرکز درمان ناباروری ابن سینا ضمن ارائه توضیحاتی درمورد بروز بیماری آندومتریوز در دختران جوان و تاکید بر جدی گرفتن دردهای قاعدگی، گفت: این بیماری در نهایت می‌تواند سبب چسبندگی شدید در لوله‌های رحمی شود که این موضوع عاملی برای ناباروری خواهد بود.

  • تهران (پانا) - پاسخ عضو هیات علمی پژوهشگاه ابن سینا درخصوص پرسش آیا ویروس کرونا سبب تشدید آندومتریوز می شود، تاکنون گزارش علمی در این زمینه نداشته‌ایم که ابتلا به کرونا سبب تشدید بیماری آندومتریوز می‌شود. مشاهدات بالینی نیز ارتباطی بین کرونا و شدت این بیماری نشان نمی‌دهد.

  • تهران (پانا) - رئیس سومین کنگره بین المللی چالش های بالینی با اشاره به شیوع بیماری آندومتریوز در میان زنان گفت: درمانهای دارویی، لاپاراسکوپی و جراحی‌های باز از جمله روش‌های درمانی بیماران مبتلا به آندومتریوز است.

  • تهران (پانا) - به‌گفته یک فلوشیپ لاپاراسکوپی پیشرفته، درد شدید قاعدگی طبیعی نیست و نیاز به مراجعه فوری به پزشک دارد.

  • تهران (پانا) - به‌گفته عضو هیات علمی پژوهشگاه ابن سینا با بیان اینکه با آندومتریوز، ناباروری به سراغ زنان می‎آید، بین ۳۰ تا ۵۰ درصد بیماران دارای ناباروری مبتلا به آندومتریوز هستند.

۱